Teeth moved and ended up with a gap in my front teeth even tho before braces i didn’t have one. 6 weeks in braces…my first tightening….
Some will see results quicker.
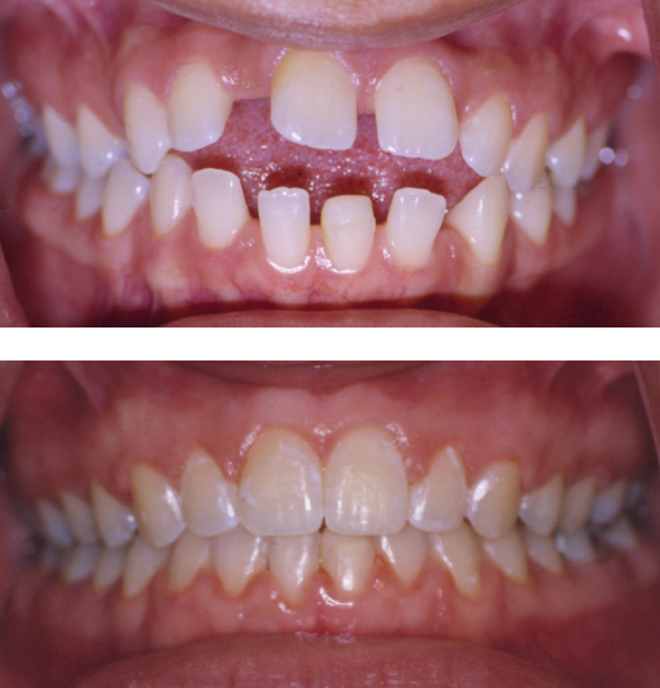
Braces results after 1 month. You should not be able to tell whether these patients had invisalign or braces. Feels like it’s been a while since i last wrote!! But, my biggest problem tooth, #1 above, had not progressed forward as much as i would like, to even itself out with the two teeth beside it.
It’s normal to experience irritation on the inside of your lips and cheeks from your brackets and wires. You can read about how the process of braces moving teeth works here. 3 months down, 3 left to go!
After one month one month after not using your prescribed retainer, your teeth will further retreat to their original position and cause changes in your bite. Here are my results after my initial 6 months of treatment: My first month with braces as an adult •.
I know of 4 other kids that have used them, all with very positive results. In this post i will write about how the. His teeth that were extremely overcrowded.
How long will 14 invisalign trays take? I really loved where “problem tooth #2” was positioned, i think it turned out really well. Posted by 2 days ago.
In that time, you can start to actually notice the changes in your teeth’s appearance as early as four weeks from being fitted. Mouth sores from braces aren’t actually caused by the braces. Super pumped with the results so far!
Sure, getting braces on is not a very pleasurable experience, and there is some measure of pain involved, but the resulting perfect teeth are more than an excellent reward. A good smile can make you more confident and generally feel better about yourself. This pressure will help to align your teeth in fairly short period (in some cases, the results are visible within 3 months (depending on the initial state of the teeth’s alignment and if the treatment plan is followed closely).
This archwired thread looks at some of the experiences that brace wearers had with noticing the change. I’ve had braces for 2 1/2 years already i got spring placed about 3 or 4 months ago and i’ve noticed i just now got a gap in between my two bottom teeth and i didn’t have that gap there before and now i really don’t even want to smile and show my teeth i’m worried because now i don’t think that gap can be fixed. Compliance with wearing the aligners.
No extractions needed and less than a year of actual braces. After a few months, you will barely notice your braces at all. The soft tissues in your mouth get tougher and over the course of the first few weeks, the hardware will no longer bother you.
Results aren’t visible overnight, they take time and dedication. The process of putting on the actual braces is not painful at all but after getting your braces the next few days your teeth will start moving and that will make it painful for you to chew but after a few days it will stop hurting and you won’t feel pain while chewing on your food. Officialally at the halfway mark!
What is the average time for invisalign? Teeth moved and ended up with a gap in my front teeth even tho before braces i didn’t have one. This shows phase 1 of a dentofacial orthopedic case in which marked improvement was shown in the profile in just 15 months, resulting in the top and bottom jaw aligning in harmony.
It was my first tightening so i would be lying if i said i wasn’t nervous about it! Four bicuspids removed 1/3/06 clear uppers and metal lowers placed 1/5/06 timeframe for braces: Byte before & after photos:
His main concerns were the crookedness and the colour of his teeth. Still, you have to remember that the end goal is a healthier mouth and a much more beautiful smile. At this point, your retainer will no longer have the exact alignment as your teeth, which is why scheduling an appointment with your orthodontist is necessary since they will have to prescribe a new.
This 33 year old gentleman came to see us because he was unhappy with his smile. On average, it takes anywhere from 6 to 12 months for your teeth to move into the correct position with invisalign. Super pumped with the results so far!
6 weeks in braces…my first tightening…. But two or three months is the average expectation. It can be very hard to get used to wearing braces and there are plenty of horror stories from former wearers about canker sores, persistent aches, and problems eating.
We decided to use our clear fixed braces to straighten his teeth over a period of about 12 months. Sorry for the slight delay! So, i had my brace tightened on the 15th january.
Most people start noticing some movement, however, within the first two months after getting their first set of aligner trays. Some will see results quicker. It depends on the level of issues that need correcting.
Restructuring your facial structure takes time. The range of malocclusions is fairly wide and so the treatment times and noticeable. Pics of real customer results + testimonials!
I’m about to get my braces off and i’m not sure if i’m being picky or if this is the best results i can get this was not a cheap procedure i’ve been told that i have a brad pitt smile where the center or my teeth aren’t centred on my face all that being said are my teeth as good as they can. This was followed by a 2 week course of home teeth whitening. The keys to successful invisalign treatment are:
Had braces as a teen, wore the retainer for like 3 years after then stopped. Your smile is often the first thing people notice when they meet you. Your own case might be different.
I share my experience with my first month of braces as an adult, including my pain level and progress with eating. Keep in mind that your invisalign results will differ depending on how the doctor plans your treatment, just as it would with braces.